Amomum spp. (fruit)

From AHPA Botanical Identity References Compendium
Revision as of 23:54, 25 June 2013 by AHPAStaff (Talk)

(diff) ← Older revision | Latest revision (diff) | Newer revision → (diff)
Jump to: navigation, search

Contents

Introduction

Macroscopic Entries

Microscopic Entries

HPTLC Entries

HPTLC-assoc-Logo-farbig-Text-schwarz-300x47.png
(thumbnail)
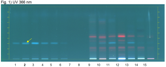
Round cardamom fruit, dou kou (fruit) HPTLC ID - UV 366 nm

Round cardamom fruit, dou kou (fruit) (Amomum krervanh, Amomum compactum)

Lane Assignments Lanes, from left to right (Track, Volume, Sample):

  1. 3 µL Round cardamom fruit 1 (A. compactum)
  2. 5 µL Round cardamom fruit 1 (A. compactum)
  3. 7 µL Round cardamom fruit 1 (A. compactum)
  4. 5 µL Round cardamom fruit 2 (A. compactum)
  5. 5 µL Round cardamom fruit 3 (A. compactum)
  6. 5 µL Round cardamom fruit 4 (A. compactum, adulterated)
  7. 1 µL Cineole
  8. 1 µL Linalool
  9. 5 µL Villous amomum fruit 1 (Amomum villosum)
  10. 5 µL Villous amomum fruit 2 (Amomum longiligulare)
  11. 5 µL Villous amomum fruit 3 (Amomum villosum)
  12. 5 µL Light galangal fruit
  13. 5 µL Sharp-leaf galangal fruit
  14. 5 µL Black cardamom fruit
  15. 5 µL Amomum aurantium fruit 

Reference Sample(s) Reference: Dissolve 10 µL of cineole in 1 mL of methanol; Dissolve 10 µL of linalool in 1 mL of methanol. 

Stationary Phase Stationary phase, i.e. Silica gel 60, F254 

Mobile Phase Toluene, ethyl acetate 93:7 (v/v) 

Sample Preparation Method Sample: Mix 500 mg of powdered sample with 5 mL of toluene, xylene 1:1 (v/v) and sonicate for 10 minutes, then centrifuge or filter the solutions and use the supernatants / filtrates as test solutions.

Derivatization reagent: Anisaldehyde reagent, Preparation: 170 mL of ice cooled methanol is mixed with 20 mL acetic acid, 10 mL of sulfuric acid and 1 mL of anisaldehyde, Use: Dip (time 0, speed 5), heat at 100°C for 3 min. 

Detection Method Saturated chamber; developing distance 70 mm from lower edge; relative humidity 33% 

Other Notes Images presented in this entry are examples and are not intended to be used as basis for setting specifications for quality control purposes.

System suitability test: Cineole: violet zone at Rf ~ 0.47 (white RT); Linalool: violet zone at Rf ~ 0.35 (white RT).

Identification: Compare result with reference images. The fingerprint of the test solution is similar to that of the corresponding botanical reference sample. Additional weak zones may be present. Prior to derivatization under UV 366 nm the chromatogram of the test solution shows one distinct fluorescent zone at Rf ~ 0.30 (yellow arrow). After derivatization under white RT the chromatogram of the test solution shows a violet zone at Rf ~ 0.47 corresponding to reference substance cineole, and an orange zone just below it (green arrows). There is a violet zone at Rf ~0.21 and another violet zone right above the application position.

Test for other species: No zone is seen at Rf ~ 0.60 (Round cardamom fruit, blue arrow). ). The other species show distinctively different fingerprints (see chromatogram).

Source: HPTLC Association [1]

HPTLC-assoc-Logo-farbig-Text-schwarz-300x47.png
(thumbnail)
Villous amomum fruit, Sha ren (fruit) HPTLC ID - Anisaldehyde reagent, white RT

Villous amomum fruit, Sha ren (fruit) (Amomum villosum, Amomum longiligulare)

Lane Assignments Lanes, from left to right (Track, Volume, Sample):

  1. 3 µL Villous amomum fruit 1 (Amomum villosum)
  2. 5 µL Villous amomum fruit 1 (Amomum villosum)
  3. 7 µL Villous amomum fruit 1 (Amomum villosum)
  4. 5 µL Villous amomum fruit 2 (Amomum longiligulare)
  5. 5 µL Villous amomum fruit 3 (Amomum villosum)
  6. 5 µL Villous amomum fruit 4 (Amomum villosum)
  7. 1 µL Cineole
  8. 1 µL Linalool
  9. 5 µL Round cardamom fruit 1 (Amomum compactum)
  10. 5 µL Round cardamom fruit 2 (Amomum compactum)
  11. 5 µL Round cardamom fruit 3 (Amomum compactum)
  12. 5 µL Light galangal fruit
  13. 5 µL Sharp-leaf galangal fruit
  14. 5 µL Black cardamom fruit
  15. 5 µL Amomum aurantium fruit 

Reference Sample(s) Reference: Dissolve 10 µL of cineole in 1 mL of methanol. Dissolve 10 µL of linalool in 1 mL of methanol. 

Stationary Phase Stationary phase, i.e. Silica gel 60, F254 

Mobile Phase Toluene, ethyl acetate 93:7 (v/v) 

Sample Preparation Method Sample: Mix 500 mg of powdered sample with 5 mL of toluene, xylene 1:1 (v/v) and sonicate for 10 minutes, then centrifuge or filter the solutions and use the supernatants / filtrates as test solutions.

Derivatization reagent: Anisaldehyde reagent, Preparation: 170 mL of ice cooled methanol is mixed with 20 mL acetic acid, 10 mL of sulfuric acid and 1 mL of anisaldehyde, Use: Dip (time 0, speed 5), heat at 100°C for 3 min. 

Detection Method Saturated chamber; developing distance 70 mm from lower edge; relative humidity 33% 

Other Notes Images presented in this entry are examples and are not intended to be used as basis for setting specifications for quality control purposes.

System suitability test: Cineole: violet zone at Rf ~ 0.47, Linalool: violet zone at Rf ~ 0.35.

Identification: Compare result with reference images. The fingerprint of the test solution is similar to that of the corresponding botanical reference sample. Additional weak zones may be present. The chromatogram of the test solution shows a violet zone below the solvent front. Below it there is an intense brown zone at Rf ~ 0.60 (blue arrow). Right above the position of reference cineole there may be a pink zone. Below cineole there is an orange zone at Rf ~ 0.38. There is a brown zone at Rf ~ 0.24 and just below it a blue zone. A violet zone is seen right above the application position.

Test for other species: No zone is seen at the position of cineole (Round cardamom fruit, green arrow). The other species show distinctively different fingerprints (see chromatogram).


Source: HPTLC Association [2]


Other Points of Interest


Cite error: <ref> tags exist, but no <references/> tag was found

Personal tools
MediaWiki Appliance - Powered by TurnKey Linux